CHARCOT JOINT
Charcot joint, also known as a neuropathic joint or Charcot (neuro/osteo)arthropathy, refers to a progressive degenerative/destructive joint disorder in patients with abnormal pain sensation and proprioception.
In modern Western societies by far the most common cause of Charcot joints is diabetes mellitus, and therefore, the demographics of patients matches those of older diabetics.
Unlike septic arthritis, Charcot joints although swollen are normal temperature without elevated inflammatory markers. Importantly, they are painless.
Charcot joints are typically unilateral but are bilateral in ~20% (range 5.9-39.3%) of cases.
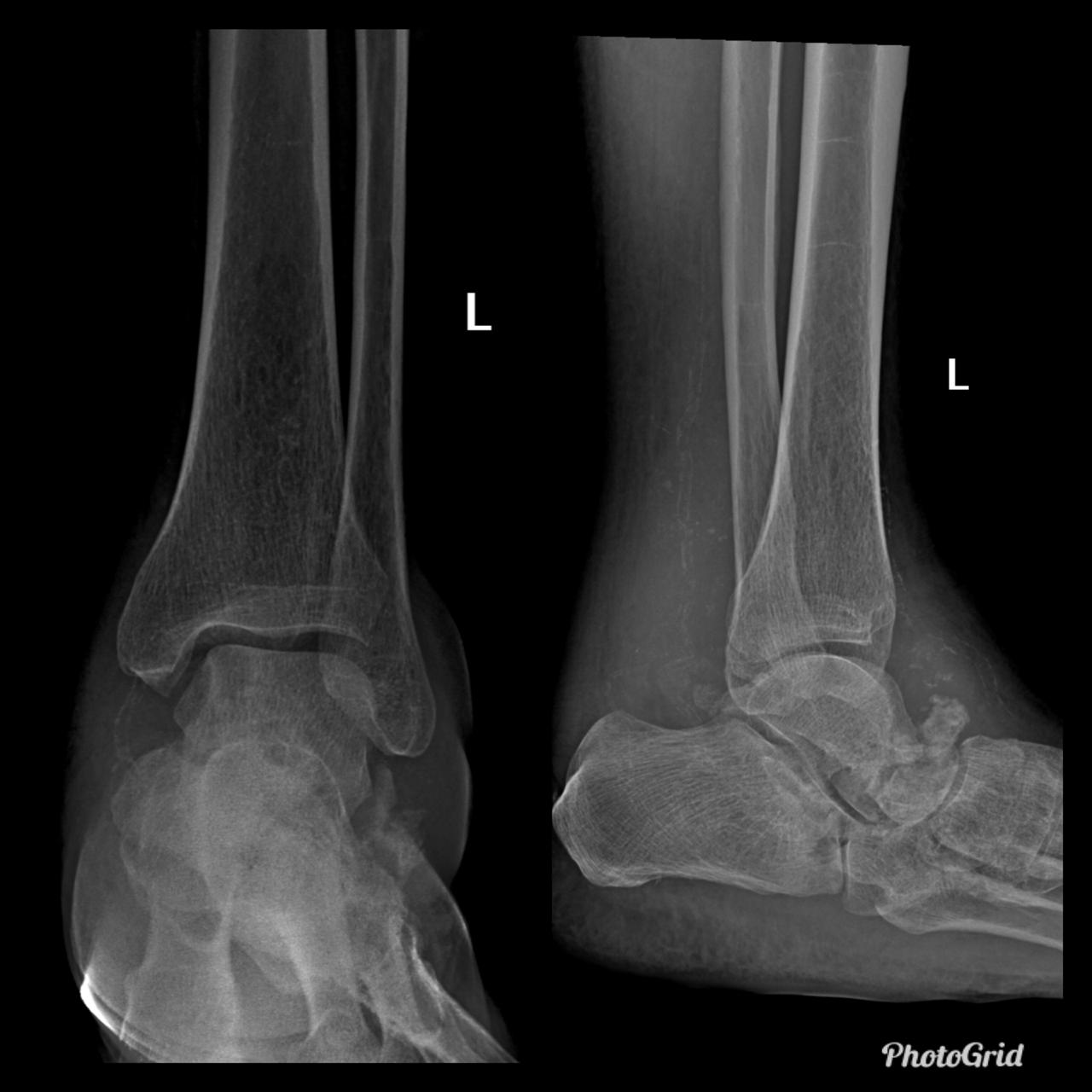
In the presented case there are destruction of talar head and neck with dislocation of talo-navicular joint, resorption of midfoot bones, subchondral sclerosis and multiple subchondral cysts on talocalcaneal aspect and cuboid facet of the calcaneum, progressive decrease of calcaneal inclination with typical rocker-bottom deformity, soft tissue swelling and arterial calcification. Bony debris are seen on dorsal aspect of the foot and posterior ankle joint. All findings are suggestive of Charcot neuro-osteoarthopathy, which is primarily an articular disease and most commonly located in the midfoot.





