AC JOINT SEPARATION
AC joint separation, often called a shoulder separation, is a dislocation of the clavicle from the acromion, with disruption of the acromioclavicular ligaments and/or coracoclavicular (CC) ligaments.
This injury is usually caused by a blow to the shoulder, or a fall in which the individual lands directly on the shoulder or an outstretched arm.
Treatment is immobilzation or surgical reconstruction depending on the degree of separation and ligament injury.
Rockwood Classification:
- Type I: AC sprain, unaffected CC ligament; normal x-ray or slight AC widening.
- Type II: AC tear/CC sprain, inferior border of clavicle elevated but not displaced beyond superior aspect of acromion; normal CC space.
- Type III: AC tear/CC tear, inferior border of clavicle beyond superior aspect of acromion, CC displacement but less than twice normal joint distance.
- Type IV: AC tear/CC tear, lateral clavicle posteriorly displaced into trapezius (see on axillary view).
- Type V: AC tear/CC tear, CC displacement greater than twice normal joint distance, may cause tenting or ischemia of overlying skin.
- Type VI: AC tear/CC tear, clavicle located beneath acromion or coracoid; very rare.
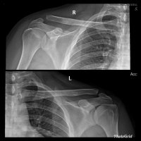
X-Ray Findings
- Normal AC joint distance <5mm. Variation exists but with clinical suspicion any measurement >8mm is concerning for injury, comparison to normal contralateral side also useful.
- Normal CC joint distance 10-13mm. Displacement measured from superior border of the coracoid process to the inferior border of the clavicle.
- A Zanca view, an AP with 10-15 degrees cephalic tilt, may help better visualize the AC joint by eliminating overlying bony images when evaluating for type II injury.




