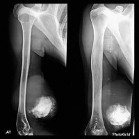
EXTRASKELETAL OSTEOSARCOMA
Extraskeletal Osteosarcoma is a rare mesenchymal malignant tumor that occurs in the retroperitoneum and soft tissue of extremities without any attachment to bone.
Most commonly occuring in individuals 40 to 80 years of age and male are more affected than females.
ESOS appears as soft tissue density with a variable amount of calcification which represents osteoid matrix formation, and is seen in -50% of cases.
Metastasis and local recurrence are quite common with ESOS, and this tumor is also insensitive to chemotherapy and radiotherapy.
The initial treatment strategy favors wide local excision of a primary tumor, including limb salvage surgery for extraskeletal osteosarcoma of the extremity.


