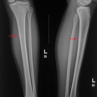
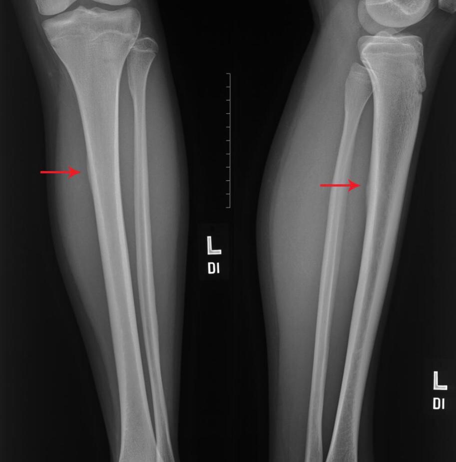
MEDIAL TIBIAL STRESS SYNDROME (MTSS)
Medial tibial stress syndrome (MTSS), also known as shin splints, describes a spectrum of stress injury that occurs at the medial tibia. This term is often used to indicate any type of tibial stress injury or the earlier manifestations of a tibial stress lesion before a fracture component can be identified. It is considered a low risk stress fracture.
Shin splints are a common exercise-related problem. Typically occurs in athletes (e.g. runners/jumpers) and is characterized by localized pain that occurs during exercise at the medial surface of the distal two-thirds of the tibial shaft, where muscles attach to the bone. Shin splints often occur after sudden changes in physical activity. These can be changes in frequency, duration and intensity.
Several conditions can cause shin pain, including stress fractures, tendinitis, and chronic exertional compartment syndrome. Other factors that contribute to shin splints include having flat feet or abnormally rigid arches and exercising with improper or worn-out footwear.
A "one-leg hop test" is a functional test, that can be used to distinguish between MTSS and a stress fracture : a patient with MTSS can hop at least 10 times on the affected leg where a patient with a stress fracture cannot hop without severe pain.
MRI is the most sensitive radiological examination (~88%). It may demonstrate a spectrum of findings ranging from normal to periosteal fluid to marrow edema to actual stress fracture. The medial cortex (+/- posterior cortex) is most commonly affected.
Simple measures can relieve the pain of shin splints. Rest, ice, and stretching often help. Taking care not to overdo your exercise routine will help prevent shin splints from coming back.








